1934 gelang es P. R. WHITE (Rockefeller Inst., Princeton, N.J.), Wurzelspitzen und Meristeme der Tomate (Lycopersicon esculentum) submers zu kultivieren. Das Medium enthielt anorganische Salze, Glucose und Hefeextrakt. Letzterer wurde später durch drei Vitamine der B-Gruppe (Thiamin, Pyridoxin und Nicotinsäure) ersetzt.
Etwa zur gleichen Zeit fand R. J. GAUTHERET (Faculté des Sciences de Paris), daß das Kambium der Weide (Salíx) sowie anderer verholzter Pflanzen zu einem Kallus (einem nicht normal differenzierten Wundgewebe) auswuchs. Unter einem Kallus versteht man eine unregelmäßig strukturierte Gewebemasse aus Zellen mit unterschiedlichen Teilungs- und Wachstumsraten. Einige Bereiche bleiben meristematisch, andere verhärten und diese Verhärtung führt über kurz oder lang zum Absterben des betreffenden Gewebeanteils.

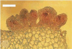
Kallusexplantate aus Wurzelstücken von Cymbidium ensifolium.
- Balken: 2,5 mm
C. CHANG und W. C. CHANG, 1998 - Plant Cell Reports,
17, 251-255 (1998) - © Springer-Verlag
1939 legte P. A. C. NOBÉCOURT (Paris) die erste permanente Kalluskultur an, die er aus Wurzelexplantaten der Möhre (Daucus carota) gewann. Durch sukzessive Übertragungen (Transplantationen) auf frischen Nähragar kann die Kultur unbegrenzt gehalten werden. Die Übertragungen erfolgten in Abständen von drei bis acht Wochen. Kalluskulturen sind keine Zellkulturen, denn es werden ganze Gewebeverbände kultiviert. Obwohl viele der Zellen ihre Teilungsfähigkeit behalten, heißt dies nicht, daß das für alle zutrifft. Eine der Ursachen hierfür liegt in einer Aneuploidisierung der Kerne und dadurch bedingte ungünstige Chromosomenkonstellationen.
1941 führte J. van OVERBEEK (Rijksuninversiteit Utrecht) die Kokosnußmilch als eine neue Komponente des Nährmediums für Kalluskulturen ein. Kokosnußmilch ist flüssiges Endosperm. Sie dient in der Natur dem Embryo als Nahrung und Wachstumsstimulans. Die aktiven Komponenten regen, wie die Ergebnisse mit Kalluskulturen ergaben, auch Zellen anderer Herkunft zu Wachstum und Teilungen an.
1954 entwickelte F. SKOOG (University of Wisconsin, Madison) ein Verfahren zur Bildung und Kultur von Wundtumorgeweben aus isolierten Stengelstücken des Tabaks (Nicotiana tabacum). Der dabei entstehende Kallus wächst bei Zusatz von Hefeextrakt, Kokosnußmilch oder alten DNS-Präparationen. Frisch aufgearbeitete DNS ist wirkungslos, wird aber durch Autoklavieren aktiviert. Hieraus wurde geschlossen, daß eines ihrer Abbauprodukte für das Wachstum und die Teilungsfähigkeit der Zellen benötigt wird. Die Substanz wurde charakterisiert, Kinetin genannt und als ein Phytohormon klassifiziert.
Die von F. SKOOG entwickelten Verfahren erwiesen sich als ideal, das Regenerationsvermögen von Kalluskulturen zu studieren. Kallus-, bzw. Gewebekulturen können sowohl bei Belichtung als auch bei Dunkelheit gehalten werden. Bei Belichtung werden in den Zellen an der Oberfläche Plastiden, Chlorophyll und Carotinoide gebildet.

Die mikroskopische Analyse von Kallusgewebe während des Differenzierunsprozesses gibt Aufschlüsse über das Regenerationsvermögen pflanzlicher Zellen


![]() |
Rasterelektronenmikroskopische Aufnahme von Embryoidoderflächen. Die Pfeile deuten auf Sekundäre Embryoide hin. - Cymbidium ensifolium. - Balken: 500 µm |
Kalluskulturen sind für vielerlei Zwecke der Grundlagen- und der angewandten Forschung von Nutzen. Zu nennen wären dabei u.a.:
| Produktion von sekundären Pflanzenstoffen und Enzymen in Gewebekulturen. | |
| Sie können zur Synthese von Ausgangsprodukten herangezogen werden, welche durch nachfolgende chemische Modifikation ein gewünschtes Produkt ergeben. | |
| Sie können als Ausgangsmaterial für die vegetative Vermehrung von Pflanzen genutzt werden. | |
| Sie können als Stamm-Material für Hochleistungssorten dienen (Erhaltungszucht). | |
| Durch Rückgriff auf Gewebekulturen können virus- oder pilzfreie sowie resistente Zellinien erhalten und konserviert werden. |

|
|